O que a cárie tem de similar a um Iceberg?

 

Esses dias fizemos uma enquete no Instagram perguntando aos nossos seguidores se sabiam o motivo pelo qual a cárie tem semelhança com um iceberg, e 75% das pessoas respoderam que não sabiam, e os 25% que responderam sim, eram em sua maioria, dentistas – risos!

Que a carie é um “buraco no dente” todo mundo já sabe! Que se inicia por uma dieta rica em açúcares e má higiene bucal também.

No entanto, o que muitas pessoas não sabem é que as lesões de cárie são consideradas apenas a manifestação de uma DOENÇA.

O desequilíbrio entre 3 fatores – dieta, higiene e flora  bacteriana é o principal responsável para o aparecimento das lesões cariosas; que, usualmente se iniciam através de uma mancha branca na superfície dos dentes. Essa mancha, porosa, já demonstra que aquele ambiente bucal tem permanecido mais ácido do que deveria, e se nada for feito a partir dessa constatação, o processo vai evoluindo, através da perda de tecido dentário. Começando então, um “buraco” no(s) dente(s).

Esse “buraco” pode ser de várias maneiras, e isso depende de inúmeras variáveis ,como: qual superfície que foi acometida, em qual dente, a anatomia do próprio dente e a frequência do desequilíbrio entre os fatores causadores.

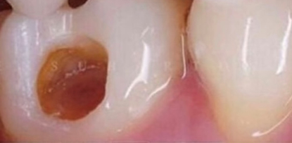
Muitas vezes o buraquinho é raso e pequeno, em outras é profundo e grande. Mas em alguns casos há uma enorme surpresa (ruim!) quando vimos uma pequena entrada na superfície dental e quando vamos removendo o tecido doente, que esfarela ou sai em lascas, nos deparamos com uma cavidade imensa! E é daí que vem a semelhança-analogia com o Iceberg! Onde se vê apenas uma parte pequena para fora da água e embaixo tem uma montanha submersa… Esse tipo de lesão cariosa recebe também a nomenclatura de “cárie oculta” . Nas imagens abaixo temos um claro exemplo disto.

A primeira imagem como a lesão se apresenta na boca, e a segunda mostra como era grande e “oca” por dentro do dente, note que o tecido é escurecido internamente, já demonstrando uma tentativa do organismo tratar o problema, desenvolvendo um tecido interno no dente de reparação, para proteger a polpa ou nervo do dente que fica mais internamente ainda.

Lesão de cárie sem tratamento
Lesão de cárie sem tratamento

 

Tecido cariado removido pronto para restauração
Tecido cariado removido pronto para restauração

 

Por isso reforçamos sempre a importância da prevenção! Seja com os hábitos saudáveis e também com visitas periódicas ao seu dentista (no mínimo uma vez ao ano) tendo em vista que casos de doenças em fases iniciais são 100% mais simples, rápidos e fáceis de resolver!

Se cuide!

Esperamos que este texto tenha sido útil ou interessante para você! Encaminhe para alguém que precisa dar mais atenção à saúde oral! Isto é uma demonstração de afeto.

 

 

Por Fernanda Costa Del´Gaudio

Cirurgiã-dentista CRO-DF 6488

Atende na Gaudio – Centro de Odontologia Estética – Brasília –DF

www.gaudioodontologia.com.br

//
Dúvidas e Atendimentos, estamos a disposição entre em contato através do WhatsApp. Digite a sua mensagem e nos envie.
👋 Olá em que posso ajudar?